Click here to see all images
September, 2018
Case of the Month
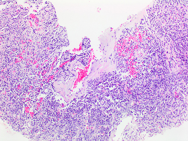
Clinical History:A 65-year-old man with a history of orbital exenteration for a prior tumor presented with a new 1.5 cm pleural-based lung mass. A computed tomography guided fine needle aspiration and biopsy was performed and representative images are shown (Figures 1-6). By immunohistochemistry, the tumor cells labeled for STAT6 with nuclear localization, and were negative for cytokeratin, epithelial membrane antigen (EMA), smooth muscle actin (SMA), CD31, CD34, S-100, and Melan A.
Quiz:
Q1. Which histologic feature is usually not seen in the classic form of this entity?
- Patternless architecture
- Cellular pleomorphism
- Thin bands of collagen separating and surrounding the cells
- Ectatic branching “staghorn” vasculature
Q2. What is the most common immunohistochemical staining pattern for this tumor?
- Cytokeratin positive, EMA positive, CD34 positive, Bcl2 positive
- Cytokeratin negative, EMA positive, CD34 positive, Bcl2 negative
- Cytokeratin positive, EMA negative, CD34 negative, Bcl2 negative
- Cytokeratin negative, EMA negative, CD34 positive, Bcl2 positive
Q3. Which of the following is not a feature for malignancy in these tumors?
- Necrosis
- Mitosis ≥4 mitotic figures per 10 HPF
- >10 cm tumor size
- Hyaline or myxoid change
Q4. What is the most consistent molecular alteration detected in these tumors?
- NAB2-STAT6 gene fusion
- NGFI-A-STAT6 gene fusion
- EGR1-STAT6 gene fusion
- STAT6 amplification
Answers to Quiz
Q2. D
Q3. D
Q4. A
Diagnosis
Discussion
Solitary fibrous tumor constitutes a heterogeneous group of spindle-cell neoplasms initially described in the pleura. These neoplasms can arise in a wide range of anatomical locations including the subcutaneous/deep soft tissue, mediastinum, abdomen/retroperitoneum, and central nervous system (CNS), among others(1-2). The cellular form of SFT is histologically and immunohistochemically identical to hemangiopericytoma, leading to the 2016 WHO classification of tumors of the central nervous system introducing the combined entity of solitary fibrous tumor/hemangiopericytoma (SFT/HPC)(3).
Histologically, these tumors are characterized by uniform collagen-forming plump or spindle-shaped tumor cells together with numerous thin-walled hyalinized vessels of "staghorn" appearance (Figures 1-3). Myxoid change, fibrosis, hyalinization, necrosis, or rarely calcifications may be seen in some cases. Most SFT are benign (80%). Criteria for malignancy include increased cellularity, cellular pleomorphism, necrosis, and increased mitotic activity (≥4 mitotic figures per 10 HPF). Cytology shows a spindle cell neoplasm with cells embedded in a collagenous matrix or singly dispersed, with elongated bland nuclei and finely granular chromatin (Figure 4). Immunohistochemically, the tumor cells are negative for cytokeratin and epithelial membrane antigen, but usually positive for CD34, STAT6 (Figure 5), Bcl2, and vimentin. Cellular SFT/HPC tends to be less frequently and less strongly positive for CD34 (50% of cases) (Figure 6). A NAB2-STAT6 gene fusion, resulting in a chimeric protein has been recently identified as a consistent finding in SFT/HPC(4-5).
Surgery is the recommended treatment for both benign and malignant SFT. For SFT displaying criteria for malignancy, adjuvant radiotherapy, when feasible, is recommended similar to that of other soft tissue sarcomas. Local and distant relapse can occur more than 20 years after initial treatment.
Take home message for trainees: SFT and HPC are two ends of a spectrum of neoplasms characterized by NAB2-STAT6 gene fusions and positivity for the immunohistochemical marker STAT6. Increasing cellularity, mitotic activity, large size, and other atypical features are associated with a greater risk of recurrence and metastasis.
References
Doyle LA, Vivero M, Fletcher CD, et al. Nuclear expression of STAT6 distinguishes solitary fibrous tumor from histologic mimics. Mod Pathol 2014;27:390-5.
Klemperer P, Rabin CB. Primary neoplasms of the pleura: a report of five cases. Arch Pathol 1931;11:385–412.
Louis DN, Ohgaki H, Wiestler OD, et al (2016) World Health Organization Histological Classification of Tumours of the Central Nervous System. International Agency for Research on Cancer, France.
Robinson DR, Wu YM, Kalyana-Sundaram S, et al. Identification of recurrent NAB2-STAT6 gene fusions in solitary fibrous tumor by integrative sequencing. Nat Genet 2013;45:180-5.
Contributors
Associate Professor
Department of Pathology
The University of Texas MD Anderson Cancer Center, Houston, TX
USA

