Click here to see all images
June, 2019
Case of the Month
Clinical History: A 56-year-old woman was incidentally found to have a left lower lobe lung mass. She was a former smoker (quit >15 years ago). On CT imaging, the mass was well-circumscribed and measured 3.6 cm (Figure 1). There was no visible uptake above background on PET scan. Repeat imaging after 3 months did not show any increase in the size of the mass. An FNA of the lesion was non-diagnostic and the patient underwent a wedge resection. The histologic features of the lesion are shown in Figures 2-6.
Quiz:
Q1. Which of the following is true about this lesion?
- Patients are mostly asymptomatic
- The lesion is often encapsulated
- About half the lesions are calcified
- Most tumors are in the hilar region
Q2. By immunohistochemistry, this lesion is:
- CK7 (-), D2-40 (+), TTF1 (-), Surfactant protein (-), Synaptophysin (-)
- CK7 (-), D2-40 (+), TTF1 (-), Surfactant protein (+), Synaptophysin (+)
- CK7 (+), D2-40 (-), TTF1 (+), Surfactant protein (+), Synaptophysin (-)
- CK7 (+), D2-40 (-), TTF1 (+), Surfactant protein (-), Synaptophysin (-)
Q3. True or False: Surgical resection is curative
Answers to Quiz
Q1. A
Q2. C
Q3. True
Q2. C
Q3. True
Diagnosis
Alveolar adenoma
Discussion
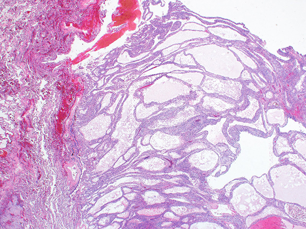
Alveolar adenoma is a rare, benign, solitary, well-circumscribed, and multicystic lung mass, with less than 25 cases reported in the literature. Most patients are middle aged to elderly (age range 39-74), with a slight female predominance. Patients are often asymptomatic and can rarely present with mild shortness of breath or pleuritic chest pain. Alveolar adenoma has been reported in all lobes with a slight preference for the left lower lobe. Most tumors are peripherally located (Fig 1), though rare cases of hilar origin have also been reported.
The imaging characteristics are of those of a benign tumor, showing a well-circumscribed and homogeneous mass with no to low level PET positivity. Transbronchial biopsy, bronchial washing, and fine needle aspiration are mostly non-diagnostic as the findings are non-specific, but can point to a benign process. Grossly, the tumors are well-demarcated and unencapsulated and have a multicystic cut surface. Histologically, the cystic spaces are empty or filled with eosinophilic granular material and scattered foamy macrophages (Figures 2-6). The larger cysts usually are concentrated in the middle of the tumor (Figure 2). The cystic spaces are lined by bland, flattened or hobnailed type II pneumocytes (Figures 3 and 4). The stroma may be myxoid and can contain variable numbers of inflammatory cells admixed with bland fibroblasts or fibroblast-like cells (Figures 5 and 6).
The pneumocytes lining the cysts are positive for cytokeratin, TTF-1 (Figure 7), and surfactant protein, while the stromal cells are negative for these markers. The spindled stromal cells may focally stain positive for smooth muscle actin and muscle-specific actin. Vascular and lymphatic markers are negative.
The differential diagnosis for alveolar adenoma includes lymphangioma. However, cytokeratin expression and lack of staining for D2-40 can help distinguish the two lesions. Sclerosing pneumocytoma lacks the multicystic appearance and has various growth patterns including solid, papillary, sclerosing or hemorrhagic. In addition, the stromal cells are positive for TTF-1 in sclerosing pneumocytoma but are TTF-1 negative in alveolar adenoma. Adenocarcinoma can be excluded by the absence of cytologic atypia and infiltrative growth.
These tumors are cured by surgical excision and recurrence has not been reported in up to 13 years of follow-up.
Take home message for trainees: Alveolar adenoma is a rare, benign, peripherally located multicystic neoplasm composed of an intimate admixture of alveolar epithelial and septal mesenchymal cells.
The imaging characteristics are of those of a benign tumor, showing a well-circumscribed and homogeneous mass with no to low level PET positivity. Transbronchial biopsy, bronchial washing, and fine needle aspiration are mostly non-diagnostic as the findings are non-specific, but can point to a benign process. Grossly, the tumors are well-demarcated and unencapsulated and have a multicystic cut surface. Histologically, the cystic spaces are empty or filled with eosinophilic granular material and scattered foamy macrophages (Figures 2-6). The larger cysts usually are concentrated in the middle of the tumor (Figure 2). The cystic spaces are lined by bland, flattened or hobnailed type II pneumocytes (Figures 3 and 4). The stroma may be myxoid and can contain variable numbers of inflammatory cells admixed with bland fibroblasts or fibroblast-like cells (Figures 5 and 6).
The pneumocytes lining the cysts are positive for cytokeratin, TTF-1 (Figure 7), and surfactant protein, while the stromal cells are negative for these markers. The spindled stromal cells may focally stain positive for smooth muscle actin and muscle-specific actin. Vascular and lymphatic markers are negative.
The differential diagnosis for alveolar adenoma includes lymphangioma. However, cytokeratin expression and lack of staining for D2-40 can help distinguish the two lesions. Sclerosing pneumocytoma lacks the multicystic appearance and has various growth patterns including solid, papillary, sclerosing or hemorrhagic. In addition, the stromal cells are positive for TTF-1 in sclerosing pneumocytoma but are TTF-1 negative in alveolar adenoma. Adenocarcinoma can be excluded by the absence of cytologic atypia and infiltrative growth.
These tumors are cured by surgical excision and recurrence has not been reported in up to 13 years of follow-up.
Take home message for trainees: Alveolar adenoma is a rare, benign, peripherally located multicystic neoplasm composed of an intimate admixture of alveolar epithelial and septal mesenchymal cells.
References
Burke LM, Rush WI, Khoor A, et al. Alveolar adenoma: a histochemical, immunohistochemical, and ultrastructural analysis of 17 cases. Hum Pathol 1999;30:158-67.
WHO Classification of Tumours of the Lung, Pleura, Thymus and Heart, Travis et al., WHO Classification of Tumours, 4th Edition, Volume 7, 2015.
Yousem SA, Hochholzer L. Alveolar adenoma. Hum Pathol 1986;17:1066-71.
WHO Classification of Tumours of the Lung, Pleura, Thymus and Heart, Travis et al., WHO Classification of Tumours, 4th Edition, Volume 7, 2015.
Yousem SA, Hochholzer L. Alveolar adenoma. Hum Pathol 1986;17:1066-71.
Contributor
Mitra Mehrad, M.D.
Assistant Professor
Associate Director, Surgical Pathology Fellowship
Department of Pathology
Vanderbilt University Medical Center, Nashville, TN
Assistant Professor
Associate Director, Surgical Pathology Fellowship
Department of Pathology
Vanderbilt University Medical Center, Nashville, TN

