Click here to see all images
August, 2021
Case of the Month
Clinical History: A 68-year-old man underwent orthotopic liver transplantation for nonalcoholic steatohepatitis-related cirrhosis. Examination of the explanted liver demonstrated a 0.9-cm focus of hepatocellular carcinoma. Approximately one and a half years later, a surveillance chest CT demonstrated the presence of enlarging right upper lobe lung nodules that were indeterminate but concerning for progressive metastatic disease. A core needle biopsy was performed (Figures 1-6).
Q1. Which of the following is true regarding this organism?
- It does not cause infection in immunocompotent individuals.
- There is an epidemiologic association between this organism and pigeon guano.
- The organisms cannot be seen on H&E.
- The best stain for these organisms in lung biopsies is India ink.
Q2. Which of the following is true regarding this organism?
- The cell wall contains melanin and other melanin-like pigments.
- The capsule is always positive for mucicarmine.
- Broad-based budding is characteristic
- Unlike Histoplasma, there are no haloes around the yeasts.
Q3. Which of the following is true regarding the epidemiology of this organism?
- It is endemic to the Mississippi, Ohio, and Saint Lawrence River valleys.
- It is endemic to southern California and Arizona.
- It is endemic to South America.
- It is not an endemic fungus.
Answers to Quiz
Q1. B
Q2. A
Q3. D
Q2. A
Q3. D
Diagnosis
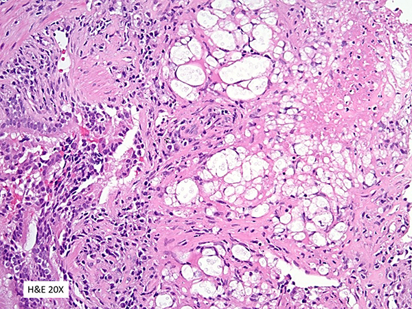
Granulomatous inflammation with focal necrosis and numerous Cryptococcus yeast.
Discussion
The histologic sections in this case demonstrate the presence of granulomatous inflammation with focal necrosis and numerous pale-staining yeast forms, both in extracellular spaces and within multinucleated giant cells. A clear space (“halo”) surrounds the yeast on Hematoxylin and eosin (H&E)-stained sections. The yeast are round in shape and variable in size. Narrow-based budding is visible on H&E. Some of the yeast forms demonstrate multiple narrow-based buds. A Grocott Methenamine Silver (GMS) stain highlights the variable size of the yeast and additional narrow-based buds. Mucicarmine and Fontana-Masson stains also highlight the yeast forms.
From a pulmonary perspective, Cryptococcus neoformans is the most commonly encountered yeast of the numerous Cryptococcus species. It is frequently seen in the immunocompromised patient, but can also be present as an incidental finding in immunocompetent patients. Cryptococcus neoformans is a ubiquitous environmental fungus with some epidemiologic association with pigeon guano. More recently, Cryptococcus gattii has been described as a cause of central nervous system disease in immunocompetent individuals and has been epidemiologically associated with certain trees in the Pacific Northwest.
Cryptococcus most commonly generates a granulomatous response; however, in the immunocompromised patient an inflammatory response may not be present, or the yeast forms may be associated with acute inflammation or be contained within histiocytes. Cryptococcus does not stain strongly with H&E, but is nevertheless discernible in such preparations. The cell wall is light gray. The yeast are round in shape and characteristically variable in size (6-10 microns). Budding is narrow-based and may be multiple. Evidence of a capsule may be seen as a peripheral clearing that surrounds the yeast on H&E. The GMS stain highlights the cell wall of the yeast and the characteristic variability in size. The capsule of metabolically active Cryptococcus may be highlighted by a mucicarmine stain; however, staining may be reduced due to a brisk inflammatory response or absent in a nonviable yeast. The Fontana-Masson stain highlights the presence of small amounts of melanin and melanin-like pigments present within the cell wall of the yeast, which are undetectable in H&E-stained sections. Like the mucicarmine stain, the Fontana-Masson stain may be negative in non-metabolically active yeast.
The production of large quantities of capsular material allows for the detection of highly specific antigens through serologic testing. In the current case, a highly specific serum cryptococcal antigen detection test was noted to be positive 2 days after release of the final surgical pathology report, confirming the histomorphologic impression. Molecular detection and speciation of Cryptococcus can be performed using formalin-fixed paraffin-embedded material and polymerase chain reaction primers targeting the D2 region of the 28S nuclear ribosomal large subunit rRNA gene or the internal transcribed spacer of the ribosomal cistern.
Cryptococcus is differentiated morphologically from Histoplasma by the lack of size variability and the absence of a capsule in the latter. Histoplasma species are endemic to the Mississippi, Ohio, and Saint Lawrence River valleys. Blastomyces dermatitidis demonstrates a thick refractile cell wall with broad-based budding. Internal basophilic staining due to multi-nucleation may also be present. So-called microforms have been demonstrated to be acid-fast in nature. Endospores from a ruptured spherule of Coccidioides species also enter the differential diagnosis due to their potential variability in size, and careful attention should be paid to the patient's travel history as Coccidioides species are endemic to the Southwest United States and portions of Central and South America. Like Cryptococcus, such endospores can show variable intensity on GMS stains, but lack evidence of a capsule.
Take home message for trainees:
Cryptococcus infections of the lung can occur in any part of the world, and although its yeast forms may stain very faintly, they are visible on H&E.
From a pulmonary perspective, Cryptococcus neoformans is the most commonly encountered yeast of the numerous Cryptococcus species. It is frequently seen in the immunocompromised patient, but can also be present as an incidental finding in immunocompetent patients. Cryptococcus neoformans is a ubiquitous environmental fungus with some epidemiologic association with pigeon guano. More recently, Cryptococcus gattii has been described as a cause of central nervous system disease in immunocompetent individuals and has been epidemiologically associated with certain trees in the Pacific Northwest.
Cryptococcus most commonly generates a granulomatous response; however, in the immunocompromised patient an inflammatory response may not be present, or the yeast forms may be associated with acute inflammation or be contained within histiocytes. Cryptococcus does not stain strongly with H&E, but is nevertheless discernible in such preparations. The cell wall is light gray. The yeast are round in shape and characteristically variable in size (6-10 microns). Budding is narrow-based and may be multiple. Evidence of a capsule may be seen as a peripheral clearing that surrounds the yeast on H&E. The GMS stain highlights the cell wall of the yeast and the characteristic variability in size. The capsule of metabolically active Cryptococcus may be highlighted by a mucicarmine stain; however, staining may be reduced due to a brisk inflammatory response or absent in a nonviable yeast. The Fontana-Masson stain highlights the presence of small amounts of melanin and melanin-like pigments present within the cell wall of the yeast, which are undetectable in H&E-stained sections. Like the mucicarmine stain, the Fontana-Masson stain may be negative in non-metabolically active yeast.
The production of large quantities of capsular material allows for the detection of highly specific antigens through serologic testing. In the current case, a highly specific serum cryptococcal antigen detection test was noted to be positive 2 days after release of the final surgical pathology report, confirming the histomorphologic impression. Molecular detection and speciation of Cryptococcus can be performed using formalin-fixed paraffin-embedded material and polymerase chain reaction primers targeting the D2 region of the 28S nuclear ribosomal large subunit rRNA gene or the internal transcribed spacer of the ribosomal cistern.
Cryptococcus is differentiated morphologically from Histoplasma by the lack of size variability and the absence of a capsule in the latter. Histoplasma species are endemic to the Mississippi, Ohio, and Saint Lawrence River valleys. Blastomyces dermatitidis demonstrates a thick refractile cell wall with broad-based budding. Internal basophilic staining due to multi-nucleation may also be present. So-called microforms have been demonstrated to be acid-fast in nature. Endospores from a ruptured spherule of Coccidioides species also enter the differential diagnosis due to their potential variability in size, and careful attention should be paid to the patient's travel history as Coccidioides species are endemic to the Southwest United States and portions of Central and South America. Like Cryptococcus, such endospores can show variable intensity on GMS stains, but lack evidence of a capsule.
Take home message for trainees:
Cryptococcus infections of the lung can occur in any part of the world, and although its yeast forms may stain very faintly, they are visible on H&E.
References
Katzenstein AL. Surgical Pathology of Non-neoplastic Lung Disease, 4th Ed.
Mukhopadhyay S, Gal AA. Granulomatous lung disease. An approach to the differential diagnosis. Arch Pathol Lab Med 2010;134:667-90.
Mukhopadhyay S. Role of histology in the diagnosis of infectious causes of granulomatous lung disease. Curr Opin Pulm Med 2011;17:189-96.
Procop GW, Pritt BS. Foundations in Diagnostic Pathology: Pathology of Infectious Disease.
Mukhopadhyay S, Gal AA. Granulomatous lung disease. An approach to the differential diagnosis. Arch Pathol Lab Med 2010;134:667-90.
Mukhopadhyay S. Role of histology in the diagnosis of infectious causes of granulomatous lung disease. Curr Opin Pulm Med 2011;17:189-96.
Procop GW, Pritt BS. Foundations in Diagnostic Pathology: Pathology of Infectious Disease.
Contributors
Scott W. Aesif, M.D., Ph.D.
Staff Pathologist
Department of Anatomic Pathology
Cleveland Clinic
Cleveland, OH
Staff Pathologist
Department of Anatomic Pathology
Cleveland Clinic
Cleveland, OH

