Click here to see all images
June, 2021
Case of the Month
Clinical History: A 46-year-old woman with a history of laryngotracheal papillomatosis and a previously resected lung tumor with a diagnosis of squamous cell carcinoma (from another service) was found to have a centrally located 1.5 cm nodule, which was submitted for frozen section consultation.
Quiz:
Q1. Which of the following criteria is NOT useful to distinguish squamous cell papilloma of inverted type from squamous cell carcinoma?
- Cytologic atypia
- Stromal invasion
- Desmoplasia
- Solid intra-alveolar nests
Q2. Which of the following is true regarding the association of human papilloma virus (HPV) with bronchial or lung papillomas:
- HPV subtypes 6 and 11 are the most commonly reported in simple squamous papillomas
- HPV subtypes 16, 18, and 31/33/35 are commonly associated with glandular and mixed squamous-glandular papillomas
- HPV subtypes 16, 18, and 31/33/35 are not related to malignant transformation
- Squamous papillomas of lung parenchyma are unrelated to laryngotracheal papillomatosis
Q3. Which of the following is true regarding squamous papillomas involving the bronchial tree or lung parenchyma?
- Patients with solitary squamous cell papilloma show a high rate of recurrence after surgical resection.
- Squamous papillomas can undergo transformation to squamous cell carcinoma, but some cases interpreted as malignant transformation of squamous papilloma may represent sampling error or misdiagnosis.
- Malignant transformation occurs in 50% of squamous papillomas.
- The rate of malignant transformation is similar for squamous cell papillomas and glandular papillomas.
Answers to Quiz
Q1. D
Q2. A
Q3. B
Q2. A
Q3. B
Diagnosis
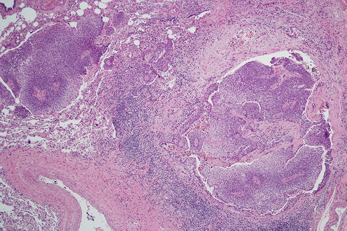
Squamous cell papilloma, inverted type.
Discussion
Squamous cell papilloma is a papillary tumor composed of delicate connective tissue fronds lined by squamous epithelium. It may grow in exophytic or inverted patterns. Other papillomas involving bronchial mucosa and lung parenchyma include glandular papilloma and mixed squamous-glandular papilloma.
Solitary squamous cell papillomas are centrally located and endobronchial (<1% of all lung neoplasms). Less than half of solitary lesions are HPV-related. Laryngotracheal papillomatosis is characterized by the presence of multiple papillomas along the larynx and trachea. In some patients, these lesions are also found within the bronchial tree and lung parenchyma. In contrast to solitary squamous papillomas, virtually all cases of squamous papillomatosis are HPV-related, most commonly to subtypes 6 and 11. Subtypes 16, 18, and 31/33/35 are associated with malignant transformation. HPV has not been reported in glandular and mixed squamous-glandular papillomas.
Inverted squamous cells papillomas show epithelial invaginations. Bronchial papillomas may extend into alveolated lung parenchyma, where they form solid intra-alveolar nests away from the main lesion; these nests are not considered invasive. The major differential diagnosis is squamous cell carcinoma. Features that favor malignancy include parenchymal destruction, stromal invasion, stromal desmoplasia and overt cytologic atypia.
Squamous cell papillomas may recur in up to 20% of cases removed endoscopically while surgically resected tumors do not recur. Progression to squamous cell carcinoma is estimated to occur in 2% or less of all cases; some cases of malignant transformation may be due to inadequate sampling or misdiagnosis. There are no reports of malignant transformation in glandular papillomas and only rare documentation of malignancy arising in a mixed squamous-glandular papilloma.
Take home message for trainees:
Laryngotracheal papillomatosis can occasionally involve the lung and manifest as squamous papillomas that form solid intra-alveolar nests. .
Solitary squamous cell papillomas are centrally located and endobronchial (<1% of all lung neoplasms). Less than half of solitary lesions are HPV-related. Laryngotracheal papillomatosis is characterized by the presence of multiple papillomas along the larynx and trachea. In some patients, these lesions are also found within the bronchial tree and lung parenchyma. In contrast to solitary squamous papillomas, virtually all cases of squamous papillomatosis are HPV-related, most commonly to subtypes 6 and 11. Subtypes 16, 18, and 31/33/35 are associated with malignant transformation. HPV has not been reported in glandular and mixed squamous-glandular papillomas.
Inverted squamous cells papillomas show epithelial invaginations. Bronchial papillomas may extend into alveolated lung parenchyma, where they form solid intra-alveolar nests away from the main lesion; these nests are not considered invasive. The major differential diagnosis is squamous cell carcinoma. Features that favor malignancy include parenchymal destruction, stromal invasion, stromal desmoplasia and overt cytologic atypia.
Squamous cell papillomas may recur in up to 20% of cases removed endoscopically while surgically resected tumors do not recur. Progression to squamous cell carcinoma is estimated to occur in 2% or less of all cases; some cases of malignant transformation may be due to inadequate sampling or misdiagnosis. There are no reports of malignant transformation in glandular papillomas and only rare documentation of malignancy arising in a mixed squamous-glandular papilloma.
Take home message for trainees:
Laryngotracheal papillomatosis can occasionally involve the lung and manifest as squamous papillomas that form solid intra-alveolar nests. .
References
Flieder DB, Koss MN, Nicholson AG, et al. Solitary pulmonary papillomas in adults: a clinicopathologic and in situ hybridization study of 14 cases combined with 27 cases in the literature. Am J Surg Pathol 1998;22:1328-42.
McNamee CJ, Lien D, Puttagunta L, et al. Solitary squamous papillomas of the bronchus: a case report and literature review. J Thorac Cardiovasc Surg 2003;126:861-3.
Popper HH, Wirnsberger G, Jüttner-Smolle FM, et al. The predictive value of human papilloma virus (HPV) typing in the prognosis of bronchial squamous cell papillomas. Histopathology 1992;21:323-30.
Popper HH, el-Shabrawi Y, Wöckel W, et al. Prognostic importance of human papilloma virus typing in squamous cell papilloma of the bronchus: comparison of in situ hybridization and the polymerase chain reaction. Hum Pathol 1994;25:1191-7.
Travis WD, Brambilla E, Burke AP, et al. WHO Classification of Tumours of the Lung, Pleura, Thymus and Heart WHO Classification of Tumours, 4th Edition.International Agency for Research on Cancer, Lyon, 2015. Pg. 106-109
McNamee CJ, Lien D, Puttagunta L, et al. Solitary squamous papillomas of the bronchus: a case report and literature review. J Thorac Cardiovasc Surg 2003;126:861-3.
Popper HH, Wirnsberger G, Jüttner-Smolle FM, et al. The predictive value of human papilloma virus (HPV) typing in the prognosis of bronchial squamous cell papillomas. Histopathology 1992;21:323-30.
Popper HH, el-Shabrawi Y, Wöckel W, et al. Prognostic importance of human papilloma virus typing in squamous cell papilloma of the bronchus: comparison of in situ hybridization and the polymerase chain reaction. Hum Pathol 1994;25:1191-7.
Travis WD, Brambilla E, Burke AP, et al. WHO Classification of Tumours of the Lung, Pleura, Thymus and Heart WHO Classification of Tumours, 4th Edition.International Agency for Research on Cancer, Lyon, 2015. Pg. 106-109
Contributors
Maria Estela Pompeu do Amaral
Imagepat, Laboratory of Pathology
Salvador, Bahia, Brazil
Daniel Athanazio
Professor of Medicine, Federal University of Bahia
Imagepat, Laboratory of Pathology
Salvador, Bahia, Brazil
Imagepat, Laboratory of Pathology
Salvador, Bahia, Brazil
Daniel Athanazio
Professor of Medicine, Federal University of Bahia
Imagepat, Laboratory of Pathology
Salvador, Bahia, Brazil

