Click here to see all images
September, 2021
Case of the Month
Clinical History: A 21-year-old asymptomatic woman developed pulmonary lesions in the setting of recent liver transplantation. The opacities were discovered on abdomino-pelvic CT performed for nausea 2 months post transplantation. The patient’s initial liver transplantion was at the age of 1 for biliary atresia, but she required re-transplantation 20 years later for cirrhosis, and then most recently a 3rd transplant due to thrombosis of the inferior vena cava and splenic vein. She remained in hospital for several weeks following the most recent transplant. She did not smoke tobacco but did smoke marijuana twice a week, and occasionally drank alcohol.
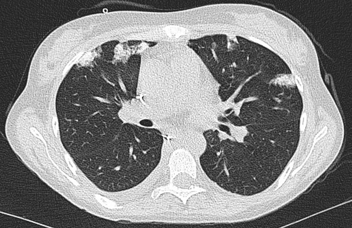
A dedicated thoracic CT scan demonstrated multifocal bilateral consolidations with anterior predominance (Figure 1) without evidence of pulmonary embolism. Blood tests were significant for anemia, and CMV, EBV, and coronavirus screening tests were negative. The clinical differential diagnosis included organizing pneumonia, post-transplant lymphoproliferative disorder, and atypical infection in the setting of immunosuppression. A transthoracic biopsy was performed. Representive images are shown in Figures 2, 3 and 4 (H&E) and Figure 5 (HPS). No microorganisms were detected on special stains.
Q1. The most fitting diagnosis for this case is:
- Metastatic chondroblastoma
- Fibrosing alveolitis
- Metastatic calcification
- Calcifying fibrous pseudotumor
Q2. Of the following underlying conditions, which is least likely to cause the findings in this case:
- Hematologic malignancies such as multiple myeloma or leukemia
- Chronic alveolar hemorrhage
- Chronic renal failure
- Orthotopic liver transplantation
Q3. Which pathologic findings are associated with this entity :
- Firm and gritty texture on gross examination
- Organizing pneumonia
- Foreign body type giant cell reaction
- All of the above
Answers to Quiz
Q2. B
Q3. D
Diagnosis
Discussion
Given the « fence like » architecture of lung parenchyma (as it appears in 2 dimensions), this histologic image in a young patient could raise the suspicion of the « chicken wire » calcification seen in chondroblastoma, which can rarely metastasize. However, the calcification in chondroblastoma is pericellular and this case lacks the typical ovoid to epithelioid neoplastic cells. Fibrosing alveolitis, while a good descriptor for the fibrous obliteration of alveolar spaces seen in this case, is an obsolete term for what is now called organizing pneumonia (OP). Indeed, OP is an important differential diagnosis it can be seen associated with metastatic calcification and some cases of cicatricial OP can undergo calcification. The OP associated with metastatic calcification, when present, is usually at the periphery of the lesions and consists of the typical serpiginous and polypoid fibroblastic plugs. Unlike in OP, the alveolar fibroblastic proliferation in metastatic calcification is uniform, generally fills the alveoli completely (« wall to wall »), and is not associated with significant pneumocyte hyperplasia. In addition, when OP calcifies, the calcification occurs within the fibroblastic plugs not the alveolar walls. Other manifestations of extracellular calcium deposition in the lung are the various forms of metaplastic ossification. These are deposits of woven bone (often with marrow elements) which generally form discrete lesions (dendriform/racemose, or nodular), but can occasionally be diffuse. Calcifying fibrous pseudotumor is a well circuscribed tumor which generally occurs in the pleura, ans is characterized by dense hypocellular collagenous stroma with interspersed dystrophic or psammomatous calcification.
Interestingly, while the CT imaging characteristics can be quite dramatic, metastatic calcification is most often asymptomatic. While « metastatic » raises alarm for a neoplastic condition, the term as applied here refers to the ability of the calcium to circulate through the body and deposit at a distant site. As one would surmise, the deposits occur in the setting of altered systemic calcium metabolism, and is seen most commonly in the setting of chronic renal insufficiency with secondary hyperparathyroidism. Other disorders that increase circulating calcium include primary hyperparathyroidism and increased bone turnover in the setting of hematologic malignancies. While metastatic calcification is known to occur in the setting of orthotopic liver transplantation, the precise pathophysiology remains somewhat unclear. It is believed that frequent blood transfusions due to coagulopathy related-blood loss and anemia are involved. The theory is that sodium citrate (in blood products) can chelate ionized calcium and cause hypocalcemia which in turn causes secondary hyperparathyroidism and/or increased calcium supplementation due to apparent hypocalcemia.
It is not uncommon for patients with metastatic pulmonary calcification to have calcifications of other organs such as kidney, stomach and myocardium. As the deposits are often asymptomatic, metastatic calcification can go undiagnosed and is sometimes only identified at autopsy. In this setting, or if surgical specimens are received, the involved areas of the lung have a firm and gritty texture due to both the alveolar filling and extensive calcium deposits. In addition to the histologic features described above, the calcium deposits can elicit a foreign body type giant cell reaction. While chronic pulmonary hemorrhage can result in interstitial deposits and a foreign body type giant cell reaction, the deposits are not calcium but rather iron which encrusts the elastic fibers within alveolar septa.
The management of metastatic pulmonary calcification is centered on treatment of the underlying cause, and in so doing slow or halt the development of further calcification. There is no known treatment that specifically targets and/or causes regression of the lung lesions.
Take home message for trainees:
Location, location, location! When you see calcification try to pinpoint where it is, what structures it involves, and what tissue it is associated with - this will help determine what type of calcification it is and lead to the correct diagnosis.
References
Kundel V, Harkin TJ. Metastatic pulmonary calcification following orthotopic liver transplantation. Am J Respir Crit Care Med 2016;193:A1670 (abstract).
Contributors
Thoracic Pathologist
University of Montreal Health Center
Montreal, Quebec, Canada

