Click here to see all images
January, 2022
Case of the Month
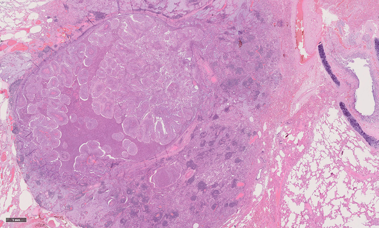
Clinical History: A PET-positive 1.5-cm solitary central pulmonary nodule was resected in a 67 year-old woman (non-smoker). The clinical suspicion was malignancy. Macroscopically, the nodule was tan-white and well demarcated. As depicted in Figure 1 (H&E) and Figure 2 (EvG), histologically the nodule was predominantly endobronchial with minimal alveolar extension and consisted of a papillary tumor. There was an acute inflammatory infiltrate between the fibrovascular cores. The surrounding lung parenchyma showed mucostasis and lympho-follicular inflammation, which could be attributed to a post-obstructive complication. The fibrovascular cores were lined by glandular epithelium with pseudostratified ciliated and non-ciliated cuboidal to columnar mucin-filled cells (Figure 3) and interspersed areas of acanthotic squamous epithelium (Figure 4, H&E; Figure 5, p40). There was no atypia, karyorrhexis or necrosis.
Q1. Is this lesion benign or malignant?
- Benign
- Uncertain clinical behavior
- Malignant - low grade
- Malignant - high grade
Q2. The lesion is associated with which of the following viral infections
- HPV
- HIV
- EBV
- None of the above
Q3. Which mutations are often found in this lesion?
- KRAS
- BRAF
- EGFR
- AKT1
Answers to Quiz
Q2. D
Q3. B and D
Diagnosis
Discussion
Recently, AKT1 and concurrent BRAF V600E or HRAS mutations were described in peripheral glandular papillomas and mixed squamous cell and glandular papillomas but not in bronchiolar adenoma/CMPT (see PPS case of the month January 2019), which are believed to be different tumors. Corroborating these results, we were able to demonstrate concurrent BRAF and AKT1 mutations in the current case.
Surgical resection is curative for mixed squamous and glandular papillomas. Contrary to pure squamous papillomas, HPV has not been identified in mixed squamous and glandular papillomas. Only one squamous cell carcinoma arising in a mixed squamous and glandular papilloma has been reported, but this was a peripheral lesion.
Take home message for trainees: Mixed squamous cell and glandular papilloma is a rare benign tumor of the lung, without association to HPV, and with frequent co-occurring AKT1 and BRAF or HRAS mutations.
References
Sasaki E, Masago K, Fujita S, et al. AKT1 mutations in peripheral bronchiolar papilloma: glandular papilloma and mixed squamous cell and glandular papilloma is distinct from bronchiolar adenoma. Am J Surg Pathol 2021;45:119-26.
Contributors
Associate Professor
Institute of Pathology
Lausanne University Hospital and University of Lausanne
Lausanne, Switzerland

