Click here to see all images
November, 2023
Case of the Month
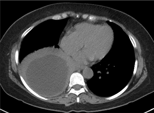
Clinical History: A 63-year-old woman, never-smoker, with a history of type 2 diabetes and hypothyroidism presented with one week of fevers, cough, and shortness of breath. Three months earlier she was living in Peru. CT scan of the chest showed a thick-walled cystic mass (10.8 cm) in the right lower lobe, favored to represent an abscess (Figure 1). She was empirically started on broad spectrum antibiotics and albendazole, and subsequently underwent a thoracotomy with right lower lobectomy. Grossly, the cyst was unilocular with an intact thick white fibrous capsule and filled with yellow gelatinous material. Microscopic examination showed the outer cyst wall contained dense fibrosis (Figure 2) with necrotizing granulomatous inflammation in the adjacent lung parenchyma (Figure 3). There was a laminated membrane composed of acellular material with a zebra-like pattern of lamellar lines (Figure 4). At higher magnification, the cyst contained several intracystic organisms (Figures 5 and 6). The patient was discharged home post-operatively with six months of albendazole therapy.
Q1. The intracystic organisms are most consistent with:
- Larvae of Strongyloides
- Adult nematodes of Dirofilaria
- Eggs of Schistosomiasis
- Protoscolices of Echinococcus
Q2. Which of the following is not a characteristic feature of this entity:
- Unilocular or multilocular cysts
- Granulomatous pulmonary hypertensive arteriopathy
- 3-layered cyst wall
- Refractile hooklets
Q3. Patients infected with this entity are most likely to present with:
- Incidental finding on chest radiograph
- Pneumothorax
- Anaphylaxis
- Hemoptysis
Answers to Quiz
Q2. B
Q3. A
Diagnosis
Discussion
Clinically, the majority of patients who develop pulmonary echinococcal cysts are asymptomatic, but symptoms may develop from immunological reactions secondary to cyst rupture, infection of a ruptured cyst, or compression of adjacent structures. Pulmonary cysts typically increase in size slowly at a rate of 1-5 cm per year. A cyst may rupture spontaneously or following trauma or pulmonary infection. Cyst rupture may be associated with new onset fever and cough, acute hypersensitivity reactions, expectoration of cyst contents, hemoptysis, or pneumothorax. Rare fatalities have been reported in cases of anaphylactic shock.
Diagnosis can often be made clinically using a combination of imaging and serology. Chest radiograph shows single or multiple oval masses with smooth borders surrounded by normal lung. CT scan of the chest shows single or multiple fluid-filled cysts which can be large in size. If the cyst is intact, it may show a thin enhancing rim with homogenous contents and occasionally multiple daughter cysts can be identified. Calcification of pulmonary cysts is uncommon. Serum antibodies for echinococcal antigens are detectable in about half of patients with pulmonary cysts. Percutaneous aspiration is considered too risky for diagnosis due to the possibility of cyst rupture and anaphylaxis, although inadvertent aspiration may yield protoscolices and hooklets. Surgical resection is the treatment of choice for pulmonary echinococcal cysts with complete removal of the intact cyst. Medical therapy (e.g. albendazole) before and after surgery reduces the risk of recurrence.
Microscopically, E. granulosus cysts consist of outer, middle, and inner cyst wall layers. The outermost layer consists of fibrosis and granulation tissue derived from the host and may have associated granulomatous inflammation, abscess formation, and necrosis in the adjacent lung parenchyma. The middle layer consists of a laminated, acellular, chitinous material. The inner layer is a thin, nucleated germinal layer with daughter cysts that develop as projections called brood capsules and contain protoscolices. Protoscolices are characterized by a sucker with double row of refractile hooklets. Degenerating protoscolices form a sediment called “hydatid sand” with free hooklets.
The main histologic differential diagnosis includes abscess (bacterial or fungal), cavitary tuberculosis, and other parasitic infections such as strongyloidiasis, dirofilariasis, and schistosomiasis. Strongyloidiasis can manifest in the lung as eosinophilic pneumonia with hemorrhage, and larvae may be identified in airspaces and blood vessels. Dirofilaria (dog heartworm) adult nematodes die in the right ventricle and embolize into pulmonary artery branches. Histologic findings of dirofilariasis include a necrotic nodule or infarct with a granulomatous reaction, and occasionally a worm remnant with a homogenous cuticle may be identified. Schistosomiasis can present in the lung as eosinophilic pneumonia with granulomatous reaction to Schistosoma eggs. Vascular complications can occur in schistosomiasis, including pulmonary artery aneurysm and granulomatous pulmonary hypertensive arteriopathy.
Take home message for trainees:
Echinococcosis is a rare cause of pulmonary cyst(s) that should be considered in patients who have lived or traveled in endemic areas. Key histologic findings are a three-layered cyst wall and protoscolices with hooklets.
References
Taxy JB, Gibson WE, Kaufman MW. Echinococcosis: Unexpected Occurrence and the Diagnostic Contribution of Routine Histopathology. Am J Surg Pathol 2017;41:94-100.
Centers for Disease Control and Prevention (CDC). Parasites: Echinococcosis. https://www.cdc.gov/parasites/echinococcosis/index.html. Accessed September 2023.
Contributors
Assistant Professor
Department of Pathology and Laboratory Medicine
University of Kansas Medical Center
Kansas City, United States
Ameer Hamza, MD
Assistant Professor
Department of Pathology and Laboratory Medicine
University of Kansas Medical Center
Kansas City, United States
Rashna Madan, MBBS
Professor
Department of Pathology and Laboratory Medicine
University of Kansas Medical Center
Kansas City, United States

