Click here to see all images
August, 2025
Case of the Month
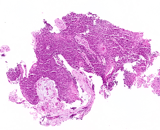
Clinical History:A man in his early 20s presented with progressive dyspnea and a cough producing mucus and tissue fragments. He is a non-smoker but has a history of occasional vaping. Imaging revealed a midline thoracic mass abutting the central airways with extensive mediastinal lymphadenopathy. A bronchoscopic biopsy was performed. The biopsy demonstrated sheets of tumor cells infiltrating a desmoplastic stroma (Figure 1, 4×). The neoplastic cells appeared relatively monotonous with focal keratinization (Figure 2, 10×; Figure 3, 20×). Notably, there were areas of abrupt squamous differentiation with keratin "pearls" (Figures 4 and 5, 20×). By immunohistochemistry, the tumor cells were diffusely positive for p40 and negative for TTF-1, and no intracytoplasmic mucin was identified on special stains. Given the patient's age and the unusual presentation, additional studies were performed: a NUT antibody immunostain showed speckled nuclear positivity, and molecular testing confirmed a BRD4::NUTM1 gene fusion, establishing the diagnosis.
Q1. NUT carcinoma is defined by a rearrangement of the NUTM1 gene. Which fusion partner is most commonly involved in NUT carcinoma?
- ALK
- BRD3
- BRD4
- EGFR
Q2. What is the primary mechanism by which the BRD4-NUT fusion oncoprotein promotes oncogenesis in NUT carcinoma?
- Activation of EGFR signaling pathways
- Global histone hyperacetylation leading to blocked differentiation
- Overexpression of PD-L1 causing immune evasion
- Point mutations in tumor suppressor genes like TP53
Q3. Which of the following targeted therapeutic strategies is currently under clinical investigation for NUT carcinoma and directly disrupts the function of the BRD4-NUT fusion oncoprotein?
- EGFR tyrosine kinase inhibitors
- Bromodomain and extra-terminal domain (BET) inhibitors
- ALK inhibitors
- Immune checkpoint inhibitors targeting CTLA-4
Answers to Quiz
Q1. C (BRD4)
Q2. B (Global histone hyperacetylation leading to blocked differentiation)
Q3. B (BET inhibitors)
Q2. B (Global histone hyperacetylation leading to blocked differentiation)
Q3. B (BET inhibitors)
Diagnosis
NUT Carcinoma (NUT Midline Carcinoma)
Discussion
It is extraordinarily rare for a young adult in their 20s to develop a primary tracheal or mediastinal squamous carcinoma. Such a presentation should raise suspicion for unusual entities like NUT carcinoma, a highly aggressive and poorly differentiated squamous cell carcinoma defined by rearrangement of the NUTM1 gene. Most cases (>70%) involve a chromosomal translocation fusing NUTM1 to the BRD4 gene (creating a BRD4-NUTM1 fusion), with a smaller subset involving alternate partners like BRD3 or NSD3. This gene fusion is the oncogenic driver of the disease and underlies its unique pathology.
The BRD4-NUT fusion oncoprotein plays a central role in the tumor's biology. BRD4 is a bromodomain protein that normally binds acetylated histones and regulates gene expression. When aberrantly fused with NUTM1, the resulting BRD4-NUT protein sequesters chromatin-modifying complexes (such as the histone acetyltransferase p300) to large genomic regions, leading to "megadomains" of global histone hyperacetylation. This prevents the normal chromatin condensation needed for cellular differentiation, effectively blocking differentiation and locking the cell in a primitive, proliferative state. In essence, the fusion acts as an epigenetic oncogenic driver by creating an open chromatin state that drives continuous growth. This molecular mechanism explains why NUT carcinoma is so aggressive despite often lacking other common mutations.
Clinically, NUT carcinoma typically presents as a rapidly enlarging tumor in the midline thorax or head/neck of an otherwise healthy young patient. The tumor often grows relentlessly over weeks to months. Patients may have symptoms related to airway obstruction or local invasion; in this case, the patient's cough productive of tissue fragments was an especially striking finding. Coughing up pieces of tumor is an exceedingly rare phenomenon known as "tumor expectoration". Tumors with endobronchial components are more prone to this unusual form of auto-biopsy.
Histologically, NUT carcinoma is characterized by sheets of monotonous, undifferentiated round to oval cells with scant cytoplasm, which may show abrupt foci of squamous differentiation (keratinization) amidst otherwise primitive cells. This abrupt keratinization—islands of maturing squamous cells within a sea of undifferentiated cells—is a pathognomonic clue that can suggest the diagnosis. The tumor generally lacks the overt pleomorphism seen in conventional smoking-related squamous carcinomas. In this case, the biopsy showed exactly those features: relatively uniform primitive cells with a few keratinizing nests.
Immunoprofiles are helpful but not entirely specific: the tumor cells express epithelial markers (pancytokeratin) and squamous markers (p40/p63) while lacking TTF-1 or Napsin-A, an immunophenotype that can mimic ordinary squamous cell carcinoma of the lung. NUT immunohistochemistry is the key diagnostic test: a distinctive punctate nuclear staining for NUT is essentially pathognomonic when correlated with morphology. The C52B1 monoclonal antibody demonstrates 87% sensitivity and 100% specificity for NUT carcinoma detection. In our case, diffuse nuclear positivity with NUT antibody, along with confirmatory molecular testing demonstrating a BRD4::NUTM1 fusion, confirmed the diagnosis of NUT carcinoma.
Unfortunately, there is no established effective therapy for NUT carcinoma. Surgical resection is often not feasible due to advanced stage at diagnosis, and standard platinum-based chemotherapy regimens have only transient benefits. The PD-L1 immunohistochemistry in this case was negative, which is commonly observed in NUT carcinoma (many cases are "immune-cold"). Thus, unlike some other aggressive cancers, NUT tumors often do not typically respond to immune checkpoint inhibitors.
Bromodomain and extra-terminal domain (BET) inhibitors, drugs that target the bromodomain proteins like BRD4, have shown promise in early clinical trials for NUT carcinoma. In fact, NUT carcinoma provided the first proof-of-concept that BET inhibitors can induce tumor differentiation and regression by directly targeting BRD4-NUT. A small case series reported rapid but temporary tumor regressions with a BET inhibitor (OTX015) in patients with NUT carcinoma. These drugs work by displacing BRD4-NUT from chromatin, thereby releasing the block on differentiation. Some patients experience tumor shrinkage and symptomatic improvement; however, responses are often not long-lasting, and tumors may recur or become resistant. Other experimental approaches, such as histone deacetylase (HDAC) inhibitors to counteract the hyperacetylation, or combined epigenetic therapies, are also being explored. At present, treatment is usually handled in clinical trials at specialized centers. The overarching strategy is aggressive multimodal therapy (surgery, chemotherapy, and radiation as feasible) combined with trial enrollment for targeted agents.
Take-home message for trainees:
Be alert to NUT carcinoma in young patients with midline thoracic tumors: It is extraordinarily uncommon for a conventional lung or tracheal carcinoma to arise in a patient in their twenties. An undifferentiated or squamous tumor in a young adult (especially in the mediastinum or airway) should prompt consideration of NUT carcinoma.
Distinguish NUT carcinoma from typical squamous carcinoma: NUT carcinoma can immunophenotypically resemble poorly differentiated squamous cell carcinoma (pancytokeratin-positive, p40-positive, TTF-1-negative). However, its monomorphic cytology with abrupt keratinization and the patient's demographic context are key clues. In contrast, usual smoking-related squamous carcinomas of the lung are extremely rare in young patients and often show more nuclear pleomorphism.
The BRD4-NUT fusion oncoprotein plays a central role in the tumor's biology. BRD4 is a bromodomain protein that normally binds acetylated histones and regulates gene expression. When aberrantly fused with NUTM1, the resulting BRD4-NUT protein sequesters chromatin-modifying complexes (such as the histone acetyltransferase p300) to large genomic regions, leading to "megadomains" of global histone hyperacetylation. This prevents the normal chromatin condensation needed for cellular differentiation, effectively blocking differentiation and locking the cell in a primitive, proliferative state. In essence, the fusion acts as an epigenetic oncogenic driver by creating an open chromatin state that drives continuous growth. This molecular mechanism explains why NUT carcinoma is so aggressive despite often lacking other common mutations.
Clinically, NUT carcinoma typically presents as a rapidly enlarging tumor in the midline thorax or head/neck of an otherwise healthy young patient. The tumor often grows relentlessly over weeks to months. Patients may have symptoms related to airway obstruction or local invasion; in this case, the patient's cough productive of tissue fragments was an especially striking finding. Coughing up pieces of tumor is an exceedingly rare phenomenon known as "tumor expectoration". Tumors with endobronchial components are more prone to this unusual form of auto-biopsy.
Histologically, NUT carcinoma is characterized by sheets of monotonous, undifferentiated round to oval cells with scant cytoplasm, which may show abrupt foci of squamous differentiation (keratinization) amidst otherwise primitive cells. This abrupt keratinization—islands of maturing squamous cells within a sea of undifferentiated cells—is a pathognomonic clue that can suggest the diagnosis. The tumor generally lacks the overt pleomorphism seen in conventional smoking-related squamous carcinomas. In this case, the biopsy showed exactly those features: relatively uniform primitive cells with a few keratinizing nests.
Immunoprofiles are helpful but not entirely specific: the tumor cells express epithelial markers (pancytokeratin) and squamous markers (p40/p63) while lacking TTF-1 or Napsin-A, an immunophenotype that can mimic ordinary squamous cell carcinoma of the lung. NUT immunohistochemistry is the key diagnostic test: a distinctive punctate nuclear staining for NUT is essentially pathognomonic when correlated with morphology. The C52B1 monoclonal antibody demonstrates 87% sensitivity and 100% specificity for NUT carcinoma detection. In our case, diffuse nuclear positivity with NUT antibody, along with confirmatory molecular testing demonstrating a BRD4::NUTM1 fusion, confirmed the diagnosis of NUT carcinoma.
Unfortunately, there is no established effective therapy for NUT carcinoma. Surgical resection is often not feasible due to advanced stage at diagnosis, and standard platinum-based chemotherapy regimens have only transient benefits. The PD-L1 immunohistochemistry in this case was negative, which is commonly observed in NUT carcinoma (many cases are "immune-cold"). Thus, unlike some other aggressive cancers, NUT tumors often do not typically respond to immune checkpoint inhibitors.
Bromodomain and extra-terminal domain (BET) inhibitors, drugs that target the bromodomain proteins like BRD4, have shown promise in early clinical trials for NUT carcinoma. In fact, NUT carcinoma provided the first proof-of-concept that BET inhibitors can induce tumor differentiation and regression by directly targeting BRD4-NUT. A small case series reported rapid but temporary tumor regressions with a BET inhibitor (OTX015) in patients with NUT carcinoma. These drugs work by displacing BRD4-NUT from chromatin, thereby releasing the block on differentiation. Some patients experience tumor shrinkage and symptomatic improvement; however, responses are often not long-lasting, and tumors may recur or become resistant. Other experimental approaches, such as histone deacetylase (HDAC) inhibitors to counteract the hyperacetylation, or combined epigenetic therapies, are also being explored. At present, treatment is usually handled in clinical trials at specialized centers. The overarching strategy is aggressive multimodal therapy (surgery, chemotherapy, and radiation as feasible) combined with trial enrollment for targeted agents.
Take-home message for trainees:
Be alert to NUT carcinoma in young patients with midline thoracic tumors: It is extraordinarily uncommon for a conventional lung or tracheal carcinoma to arise in a patient in their twenties. An undifferentiated or squamous tumor in a young adult (especially in the mediastinum or airway) should prompt consideration of NUT carcinoma.
Distinguish NUT carcinoma from typical squamous carcinoma: NUT carcinoma can immunophenotypically resemble poorly differentiated squamous cell carcinoma (pancytokeratin-positive, p40-positive, TTF-1-negative). However, its monomorphic cytology with abrupt keratinization and the patient's demographic context are key clues. In contrast, usual smoking-related squamous carcinomas of the lung are extremely rare in young patients and often show more nuclear pleomorphism.
References
1. French CA. NUT midline carcinoma. Cancer Genetics and Cytogenetics 2010; 203(1):16-20.
2. French CA. The importance of diagnosing NUT midline carcinoma. Head and Neck Pathology 2013; 7(1):11-16.
3. Alekseyenko AA, et al. The oncogenic BRD4–NUT chromatin regulator drives aberrant transcription within large topological domains. Genes & Development 2015; 29(14):1507-1523.
4. Reynoird N, et al. Oncogenesis by sequestration of CBP/p300 in transcriptionally inactive hyperacetylated chromatin domains. EMBO J 2010; 29(17):2943-2952.
5. Schwartz BE, et al. Differentiation of NUT midline carcinoma by epigenomic reprogramming. Cancer Res 2011; 71(7):2686-2696.
6. Haack H, et al. Diagnosis of NUT midline carcinoma using a NUT-specific monoclonal antibody. Am J Surg Pathol 2009; 33(7):984-991.
7. Stathis A, et al. Clinical response of carcinomas harboring the BRD4–NUT oncoprotein to the targeted bromodomain inhibitor OTX015. Cancer Discovery 2016; 6(5):492-500.
8. Filippakopoulos P, et al. Selective inhibition of BET bromodomains. Nature 2010; 468(7327):1067-1073.
2. French CA. The importance of diagnosing NUT midline carcinoma. Head and Neck Pathology 2013; 7(1):11-16.
3. Alekseyenko AA, et al. The oncogenic BRD4–NUT chromatin regulator drives aberrant transcription within large topological domains. Genes & Development 2015; 29(14):1507-1523.
4. Reynoird N, et al. Oncogenesis by sequestration of CBP/p300 in transcriptionally inactive hyperacetylated chromatin domains. EMBO J 2010; 29(17):2943-2952.
5. Schwartz BE, et al. Differentiation of NUT midline carcinoma by epigenomic reprogramming. Cancer Res 2011; 71(7):2686-2696.
6. Haack H, et al. Diagnosis of NUT midline carcinoma using a NUT-specific monoclonal antibody. Am J Surg Pathol 2009; 33(7):984-991.
7. Stathis A, et al. Clinical response of carcinomas harboring the BRD4–NUT oncoprotein to the targeted bromodomain inhibitor OTX015. Cancer Discovery 2016; 6(5):492-500.
8. Filippakopoulos P, et al. Selective inhibition of BET bromodomains. Nature 2010; 468(7327):1067-1073.
Contributors
Matthew Cecchini, MD PhD
Associate Professor London Health Science and Western University
Patrick Melo, BMSc
Medical student Western University
Dr. Laura Lockau, MD PhD
Diagnostic and Molecular Pathology Resident
London Health Science and Western University
Associate Professor London Health Science and Western University
Patrick Melo, BMSc
Medical student Western University
Dr. Laura Lockau, MD PhD
Diagnostic and Molecular Pathology Resident
London Health Science and Western University

