Click here to see all images
July, 2025
Case of the Month
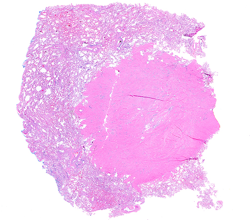
Clinical History: A 70-year-old man with past medical history of prostate cancer status post prostatectomy and long-standing history of smoking was found to have a 1.5 cm right upper lobe nodule on a surveillance chest CT scan. A bronchoscopic biopsy yielded non-diagnostic findings and a right upper lobe wedge resection was performed. Grossly, the lung wedge contained a 1.5 x 1.2 x 1.1 cm tan-white, dense fibrous lesion with ill-defined borders. Frozen section evaluation showed dense fibrosis/scar and no malignancy. Permanent tissue sections confirmed a nodule composed of dense fibro-collagenous tissue with jagged borders (Figure 1). No leaf-like growth pattern was observed at the periphery of the lesion (Figure 2). In addition, the nodule contained focal mature adipose tissue, entrapped benign small airways and clefts of alveoli with reactive pneumocytes and few entrapped blood vessels (Figures 2, 3 and 4). Inflammation, calcifications, necrosis, atypia, and/or malignancy were not identified. Masson’s trichrome highlighted the collagenous stroma in blue and short fascicles of benign smooth muscle in red (Figure 5). By immunohistochemistry, the nodule was negative for STAT6 (not shown), with entrapped pneumocytes positive for TTF1 (Figure 6).
Q1. What is the diagnosis?
- Pulmonary adenofibroma
- Pulmonary hamartoma with fibro-collagenous component
- Sclerosing pneumocytoma
- Solitary fibrous tumor
Q2. In general, what is the most common mesenchymal element of this lesion?
- Adipose tissue
- Hyaline cartilage
- Smooth muscle
- Fibrous tissue
Q3. What is the prognosis of this lesion
- Poor since it requires systemic chemotherapy
- Intermediate since it may or may not respond to systemic therapy
- Excellent since resection is basically curative
- It recurs frequently despite resection and has metastatic potential
Answers to Quiz
Q1. B
Q2. B
Q3. C
Q2. B
Q3. C
Diagnosis
Pulmonary hamartoma with prominent fibro-collagenous/fibrous tissue component
Discussion
Pulmonary hamartomas occur commonly in adults and have a male predominance. They usually present as a single peripheral lung nodule without a specific lobe predilection. The WHO classification defines pulmonary hamartomas as “benign mesenchymal neoplasms with variable amounts of at least two mesenchymal elements and entrapped respiratory epithelium”. Histologically, hyaline cartilage is the most predominant element, followed by mature adipose tissue, myxoid stroma with bland spindle cells, smooth muscle, fibrous tissue and/or bone. The diagnosis is typically straightforward but may be problematic in cases where one of the less frequent elements predominates, particularly in a needle biopsy. Pulmonary hamartomas with abundant adipose tissue are called lipomatous hamartomas and those with abundant smooth muscle are designated adenomyomatous hamartomas. Those with a prominent fibrous component are rare. In all cases, the entrapped respiratory epithelium has bland cytology and there is no proliferation (Figures 1-4). At the molecular level, these neoplasms harbor the t(3;12)(q27-q28;q14-15) resulting in a HMGA2::LPP gene fusion implicated in chondrogenesis and adipogenesis. The optimal treatment of pulmonary hamartomas is surgical resection with excellent prognosis.
The differential diagnosis of pulmonary hamartoma varies according to the predominant mesenchymal element (i.e. chondroid hamartoma with chondroma, lipomatous hamartoma with lipoma, adenomyomatous hamartoma with leiomyoma, and those with myxoid stroma with bland spindle cells with myxoid sarcomas). Cases with an abundant fibrous component should be distinguished from pulmonary adenofibroma, solitary fibrous tumor, sclerosing pneumocytoma, and invasive adenocarcinoma in a fibroelastotic scar.
Pulmonary adenofibroma is an exceedingly rare, low-grade, biphasic neoplasm composed of epithelial and stromal elements. This neoplasm is morphologically similar to a breast fibroadenoma or a phyllodes tumor. The stromal component is often myxoid and benign heterologous elements are uncommon. The epithelium may be of squamous, cuboidal, respiratory, or alveolar types with or without proliferation or hyperplasia. The periphery of the tumor may show a leaf-like growth pattern. These features are absent in pulmonary hamartoma with fibrous component. Pulmonary solitary fibrous tumor arises more commonly in the visceral pleura, and occasionally in the lung parenchyma. It may feature areas with hyalinized stroma and low cellularity, but these alternate with more cellular areas. The “staghorn” vasculature (hemangiopericytoma-like) is characteristic, and no heterologous elements are seen. Entrapped epithelium may be present in tumors with intrapulmonary location. By immunohistochemistry, solitary fibrous tumor is positive for CD34 (80-90%) and nuclear STAT6 (~100%, indicative of a NAB2-STAT6 gene fusion), and it is negative for cytokeratins and S100. Sclerosing pneumocytoma is an indolent lung neoplasm that has four growth patterns: solid, papillary, sclerosing and hemorrhagic, with varying proportions of each pattern in individual tumors. Cases with prominent sclerosis enter the differential diagnosis with hamartoma with abundant fibrous component. As already mentioned, sclerosing pneumocytomas feature other growth patterns and contain two cell types: cuboidal surface cells and round stromal cells, both positive by immunohistochemistry for TTF1 and EMA, and surface cells (but not round stromal cells) positive for pan-cytokeratin and Napsin A. Calcification may be present but benign mesenchymal elements are absent. AKT1 mutations are the molecular hallmark of these tumors. Invasive adenocarcinoma in a fibroelastotic scar, formerly known as “scar carcinoma of the lung”, is a carcinoma that originates in and around peripheral pulmonary scars. In this case, the glands have an infiltrative pattern and cytologic atypia and the stroma contains fibrous and elastic fibers. Cartilage, adipose tissue, or other mesenchymal elements are absent.
Take-home message for trainees:
Pulmonary hamartomas can show variable proportions of mesenchymal elements, such as hyaline cartilage, mature adipose tissue, bland myxoid spindle cells, smooth muscle, fibrous tissue, and/or bone. Cases with less common elements may pose diagnostic challenges. Pulmonary hamartomas with an abundant fibro-collagenous component are rare and should be distinguished from other neoplasms containing abundant collagen, namely pulmonary adenofibroma, solitary fibrous tumor, sclerosing pneumocytoma, and invasive adenocarcinoma in a fibroelastotic scar.
The differential diagnosis of pulmonary hamartoma varies according to the predominant mesenchymal element (i.e. chondroid hamartoma with chondroma, lipomatous hamartoma with lipoma, adenomyomatous hamartoma with leiomyoma, and those with myxoid stroma with bland spindle cells with myxoid sarcomas). Cases with an abundant fibrous component should be distinguished from pulmonary adenofibroma, solitary fibrous tumor, sclerosing pneumocytoma, and invasive adenocarcinoma in a fibroelastotic scar.
Pulmonary adenofibroma is an exceedingly rare, low-grade, biphasic neoplasm composed of epithelial and stromal elements. This neoplasm is morphologically similar to a breast fibroadenoma or a phyllodes tumor. The stromal component is often myxoid and benign heterologous elements are uncommon. The epithelium may be of squamous, cuboidal, respiratory, or alveolar types with or without proliferation or hyperplasia. The periphery of the tumor may show a leaf-like growth pattern. These features are absent in pulmonary hamartoma with fibrous component. Pulmonary solitary fibrous tumor arises more commonly in the visceral pleura, and occasionally in the lung parenchyma. It may feature areas with hyalinized stroma and low cellularity, but these alternate with more cellular areas. The “staghorn” vasculature (hemangiopericytoma-like) is characteristic, and no heterologous elements are seen. Entrapped epithelium may be present in tumors with intrapulmonary location. By immunohistochemistry, solitary fibrous tumor is positive for CD34 (80-90%) and nuclear STAT6 (~100%, indicative of a NAB2-STAT6 gene fusion), and it is negative for cytokeratins and S100. Sclerosing pneumocytoma is an indolent lung neoplasm that has four growth patterns: solid, papillary, sclerosing and hemorrhagic, with varying proportions of each pattern in individual tumors. Cases with prominent sclerosis enter the differential diagnosis with hamartoma with abundant fibrous component. As already mentioned, sclerosing pneumocytomas feature other growth patterns and contain two cell types: cuboidal surface cells and round stromal cells, both positive by immunohistochemistry for TTF1 and EMA, and surface cells (but not round stromal cells) positive for pan-cytokeratin and Napsin A. Calcification may be present but benign mesenchymal elements are absent. AKT1 mutations are the molecular hallmark of these tumors. Invasive adenocarcinoma in a fibroelastotic scar, formerly known as “scar carcinoma of the lung”, is a carcinoma that originates in and around peripheral pulmonary scars. In this case, the glands have an infiltrative pattern and cytologic atypia and the stroma contains fibrous and elastic fibers. Cartilage, adipose tissue, or other mesenchymal elements are absent.
Take-home message for trainees:
Pulmonary hamartomas can show variable proportions of mesenchymal elements, such as hyaline cartilage, mature adipose tissue, bland myxoid spindle cells, smooth muscle, fibrous tissue, and/or bone. Cases with less common elements may pose diagnostic challenges. Pulmonary hamartomas with an abundant fibro-collagenous component are rare and should be distinguished from other neoplasms containing abundant collagen, namely pulmonary adenofibroma, solitary fibrous tumor, sclerosing pneumocytoma, and invasive adenocarcinoma in a fibroelastotic scar.
References
Boland JM, Aubry MC. Pulmonary hamartoma. In: WHO Classification of Tumors Editorial Board. Thoracic tumors. Lyon (France): IARC, 2021. (WHO classification of tumor series, 5th ed; vol 5) pp. 154-155.
Liang Z, Zhou P, Wang Y, et al. Pulmonary adenofibroma: Clinicopathological and genetic analysis of 7 cases with literature review. Front Oncol. 11:667111. PMID: 34350112.
Van den Bosch JM, Wagenaar SS, Corrin B, et al Mesenchymoma of the lung (so called hamartoma): a review of 154 parenchymal and endobronchial cases. Thorax. 1987; Oct;42(10):790-3. PMID: 3321538.
Von Ahsen I, Rogalla P, Bullerdiek J. Expression patterns of the LPP-HMGA2 fusion transcript in pulmonary chondroid hamartomas with t(3;12)(q27 approximately 28;q14 approximately 15). Cancer Genet Cytogenet. 2005; Nov;163(1):68-70. PMID: 16271958.
Liang Z, Zhou P, Wang Y, et al. Pulmonary adenofibroma: Clinicopathological and genetic analysis of 7 cases with literature review. Front Oncol. 11:667111. PMID: 34350112.
Van den Bosch JM, Wagenaar SS, Corrin B, et al Mesenchymoma of the lung (so called hamartoma): a review of 154 parenchymal and endobronchial cases. Thorax. 1987; Oct;42(10):790-3. PMID: 3321538.
Von Ahsen I, Rogalla P, Bullerdiek J. Expression patterns of the LPP-HMGA2 fusion transcript in pulmonary chondroid hamartomas with t(3;12)(q27 approximately 28;q14 approximately 15). Cancer Genet Cytogenet. 2005; Nov;163(1):68-70. PMID: 16271958.
Contributors
Sergio Pina-Oviedo, MD
Associate Professor
Department of Pathology
Duke University Medical Center
Durham, NC
Rebecca J. Varley, MD
Assistant Professor
Department of Pathology
Duke Raleigh Hospital
Raleigh, NC
Huihua Li, MD, PhD
Assistant Professor
Department of Pathology
Duke University Medical Center
Durham, NC
John M. Carney, MD
Assistant Professor
Department of Pathology
Duke University Medical Center
Durham, NC
Carolyn Glass, MD, PhD
Associate Professor
Department of Pathology
Duke University Medical Center
Durham, NC
Louis DiBernardo, MD
Assistant Professor
Department of Pathology
Duke University Medical Center
Durham, NC
Victor Roggli, MD
Professor
Department of Pathology
Duke University Medical Center
Durham, NC
Elizabeth N. Pavlisko, MD
Professor
Department of Pathology
Duke University Medical Center
Durham, NC
Associate Professor
Department of Pathology
Duke University Medical Center
Durham, NC
Rebecca J. Varley, MD
Assistant Professor
Department of Pathology
Duke Raleigh Hospital
Raleigh, NC
Huihua Li, MD, PhD
Assistant Professor
Department of Pathology
Duke University Medical Center
Durham, NC
John M. Carney, MD
Assistant Professor
Department of Pathology
Duke University Medical Center
Durham, NC
Carolyn Glass, MD, PhD
Associate Professor
Department of Pathology
Duke University Medical Center
Durham, NC
Louis DiBernardo, MD
Assistant Professor
Department of Pathology
Duke University Medical Center
Durham, NC
Victor Roggli, MD
Professor
Department of Pathology
Duke University Medical Center
Durham, NC
Elizabeth N. Pavlisko, MD
Professor
Department of Pathology
Duke University Medical Center
Durham, NC

