Click here to see all images
March, 2025
Case of the Month
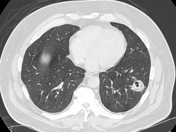
Clinical History: A man in his 50s being treated for bilateral angiomyolipomas with everolimus underwent a routine follow-up abdominal CT, which revealed a lung lesion. A dedicated chest CT confirmed the presence of a 2.5-cm cavitary nodule in the lower lobe of the left lung (Figure 1). The lesion was hypermetabolic (SUV 2.5). He was a current smoker (>40 pack years). There was no other significant history.
A CT-guided core needle biopsy of the nodule revealed a necrotizing granuloma, but no organisms were found. A wedge resection of the nodule was performed, along with mediastinal lymph node dissection. Images from the wedge resection are shown in Figures 2-6. Figure 2 is a low magnification view of the nodule (H&E). Figure 3 shows the periphery of the nodule at high magnification. Figures 4 and 5 show high-magnification views of the necrotic center (H&E). A Grocott methenamine silver (GMS) stain is shown in Figure 6.
Q1. Which of the following can cause necrotizing granulomas in the lung and form a lung nodule?
- Leishmania
- Aspergillus
- Streptococcus
- Cytomegalovirus
Q2. What is the most common underlying risk factor in patients with pulmonary mucormycosis?
- Hematologic malignancy
- COVID-19
- Solid organ transplantation
- Diabetes
Q3. Which are the most common fungal organisms forming pauciseptate (or aseptate) non-pigmented hyphae with irregular shapes?
- Histoplasma, Cryptococcus, Coccidioides
- Aspergillus, Scedosporium, Fusarium
- Nocardia, Cunninghamella, Rhizomucor
- Rhizopus, Mucor, Lichtheimia
Answers to Quiz
Q2. A
Q3. D
Diagnosis
Discussion
Mucormycosis (previously known as zygomycosis) encompasses infections caused by filamentous fungi of the order Mucorales, including Mucor, Rhizopus, Lichtheimia (previously known as Absidia), Cunninghamella, Apophysomyces, Rhizomucor and Saksenaea. Pulmonary involvement is common; a known risk factor is underlying hematologic malignancy. Rhino-orbito-cerebral mucormycosis is associated with underlying diabetes. Soft tissue infection and disseminated disease may also occur. Other risk factors for mucormycosis include solid organ transplantation, hematopoietic stem cell transplantation, immunosuppressive medications (including everolimus), COVID-19 (especially in India, where the incidence of mucormycosis is 70 times higher than the rest of the world) and trauma (for cutaneous infection). It has been suggested that prior treatment with voriconazole for other fungal infections predisposes to mucormycosis since voriconazole does not have activity against the Mucorales.
Imaging findings of pulmonary mucormycosis include the reverse halo sign (ground-glass opacity surrounded by consolidation), the halo sign, consolidation alone, pleural effusion, nodules, masses and cavitation. None of these features are specific for mucormycosis, and many of them also occur in pulmonary aspergillosis.
The diagnosis of mucormycosis is made by histology, cultures or PCR. Extensive necrosis and vascular invasion are common. In the lung, necrotizing granulomatous inflammation is most commonly caused by mycobacteria or fungal yeasts; it is not common with fungal hyphae but is well documented with certain forms of pulmonary aspergillosis, especially the semi-invasive or chronic necrotizing variants. A distinctive variant of pulmonary aspergillosis mimicking lung cancer characterized by PET-positive solid lung nodules in the upper lobes of smokers with emphysema has been described recently.
The treatment of choice for mucormycosis is liposomal amphotericin B, and surgery may also be required. Mortality ranges from low (in immunocompetent patients) to 40-50% in diabetes and hematologic malignancies, to as high as 76% in those with hematopoietic cell transplantation.
Take home message for trainees:
The differential diagnosis of pauciseptate fungal hyphae with irregular shapes in the lung includes Rhizopus, Mucor and Lichtheimia.References
Dermawan JK, Ghosh S, Mukhopadhyay S. Expanding the spectrum of chronic necrotizing (semi-invasive) aspergillosis: a series of 8 cases presenting as radiologically solid lung nodules mimicking malignancy. Histopathology 2020;76(5):685-697.
Mukhopadhyay S, Gal AA. Granulomatous lung disease. An approach to the differential diagnosis. Arch Pathol Lab Med 2010; 134(5):667-690. Skiada A, Pagano L, Groll A, et al. Zygomycosis in Europe: analysis of 230 cases accrued by the registry of the European Confederation of Medical Mycology (ECMM) Working Group on Zygomycosis between 2005 and 2007. Clin Microbiol Infect 2011;17:1859-1867.Contributors
Department of Pathology
Cleveland Clinic
Cleveland, OH, USA

