Click here to see all images
October, 2025
Case of the Month
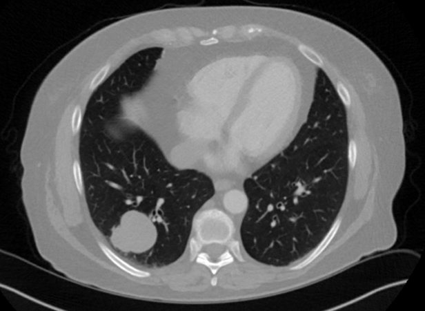
Clinical History:A 70-year-old woman, never-smoker, presented with right upper quadrant abdominal pain and nausea. She had no known oncologic history. CTA chest showed a polylobular solid nodule in the right lower lobe measuring 3.9 cm (Figure 1). PET scan showed mild metabolic activity within the lung nodule (maximum SUV of 4.5), and no other sites of abnormal metabolic activity. A CT-guided biopsy was performed (results not shown), and she subsequently underwent a thoracoscopic right lower lobectomy. Gross examination revealed a well-circumscribed, tan-white, firm nodule that detached from the lung parenchyma during surgical retrieval. Microscopic examination showed a nodular growth pattern with alternating fibrotic and myxoid areas at low magnification (Figure 2). There were several large collagen rosettes with hyalinizing fibrosis (Figures 3 and 4). Higher magnification revealed bland spindle cells arranged in a swirling storiform pattern within fibromyxoid stroma (Figure 5). No increased mitotic activity or tumor necrosis was present. Immunohistochemical stains showed neoplastic cells were positive for MUC4 (Figure 6) and negative for pan-cytokeratin, desmin, SOX10, STAT6, DOG1, and beta-catenin.
Q1. Which of the following is true about the tumor in this case:
- Frequently primary to the lung
- Can metastasize years to decades after initial diagnosis
- Expresses ALK-1 by immunohistochemistry
- There is an association with von Hippel-Lindau disease
Q2. This tumor most often contains which of the following fusions:
- EWSR1-CREB3L1
- EWSR1-DDIT3
- FUS-CREB3L2
- FUS-ERG
Q3. Expression of MUC4 by immunohistochemistry can be a potential pitfall in which of the following:
- Epithelioid sarcoma
- Synovial sarcoma
- Solitary fibrous tumor
- Inflammatory myofibroblastic tumor
Answers to Quiz
Q1. B
Q2. C
Q3. B
Q2. C
Q3. B
Diagnosis
Low grade fibromyxoid sarcoma
Discussion
This case illustrates a rare example of low grade fibromyxoid sarcoma (LGFMS), also known as Evans tumor, arising in the thoracic cavity. LGFMS typically occurs in young adults with a male predominance, but there is a wide age range (median 34 years, range 3-78 years). The most common primary sites include deep soft tissues of the extremities and trunk, and relatively few intrathoracic cases have been reported. The clinical presentation is a slow-growing soft tissue mass that is often painless and large in size. LGFMS can recur many years to decades after initial diagnosis and metastasize to the lungs, pleura, chest wall, and other sites. Treatment is surgical excision with wide margins, and consideration for metastasectomy if metastatic lesions develop. Long term follow-up with surveillance imaging is important due to the potential for late recurrence and metastasis.
Grossly the tumor appears well-circumscribed with a tan-white fibromyxoid cut surface. On microscopic examination, the tumor is composed of bland fibroblastic cells arranged in a whorled pattern with low to moderate cellularity. Classically, there are alternating areas of myxoid and hyalinizing collagenous stroma with an abrupt transition that can be appreciated at low magnification. Curvilinear and branching hemangiopericytoma-like vessels may be prominent. Some tumors contain giant collagen rosettes, a distinctive morphologic pattern that can help make the diagnosis. Recurrent tumors may show increased cellularity and mitotic activity. By immunohistochemistry, tumor cells express cytoplasmic MUC4, which is a highly sensitive marker for LGFMS. MUC4 can be helpful to distinguish LGFMS from most histologic mimics, but it is notably expressed in closely related sclerosing epithelioid fibrosarcoma and a subset of synovial sarcomas. A majority of LGFMS are characterized by FUS-CREB3L2 fusions, and a smaller number harbor EWSR1-CREB3L1.
The morphologic differential diagnosis includes sclerosing epithelioid fibrosarcoma and other spindle cell neoplasms of the lung such as solitary fibrous tumor, inflammatory myofibroblastic tumor, and synovial sarcoma. Sclerosing epithelioid fibrosarcoma is a fibroblastic neoplasm composed of epithelioid cells arranged in cords and nests within a dense collagenous stroma. Some cases show overlapping morphology with LGFMS, expression of MUC4, and shared molecular alterations (EWSR1-CREB3L1 and less commonly FUS-CREB3L2), suggesting a close relationship between these tumor types. Sclerosing epithelioid fibrosarcoma is associated with a more aggressive clinical course than LGFMS.
Solitary fibrous tumor is a fibroblastic tumor characterized morphologically by spindled cells arranged haphazardly in a “patternless pattern” with collagenous stroma and staghorn vessels. Immunohistochemistry for STAT6 is highly sensitive for the underlying NAB2-STAT6 gene rearrangement. CD34 is often strongly expressed but nonspecific. Inflammatory myofibroblastic tumor (IMT) is characterized by a myofibroblastic and fibroblastic proliferation of spindled cells admixed with an inflammatory infiltrate composed of lymphocytes, plasma cells and eosinophils. By immunohistochemistry, IMTs express smooth muscle actin, variable desmin, variable cytokeratin, and ALK-1 (~50%). IMTs harbor fusions in ALK (~50%), ROS1 and PDGFRB. Synovial sarcoma is a potential pitfall due to expression of MUC4 in a subset. Synovial sarcoma includes monophasic and biphasic morphologic subtypes, characterized by monotonous spindle cells with ovoid, overlapping nuclei, streaming fascicular growth pattern, and hemangiopericytoma-like vessels. The diagnostic chromosomal translocation t(X;18) involves genes SS18 and either SSX1, SSX2 or SSX4, which can be detected by immunohistochemistry for SS18-SSX fusion specific antibody. Additional positive immunostains include TLE1, cytokeratin (biphasic subtype) and CD99.
Take-home message for trainees:
Low grade fibromyxoid sarcoma can metastasize many years after initial diagnosis and only rarely occurs as a primary tumor in the thoracic cavity. The possibility of metastasis should be clinically excluded by history and full-body imaging.
Grossly the tumor appears well-circumscribed with a tan-white fibromyxoid cut surface. On microscopic examination, the tumor is composed of bland fibroblastic cells arranged in a whorled pattern with low to moderate cellularity. Classically, there are alternating areas of myxoid and hyalinizing collagenous stroma with an abrupt transition that can be appreciated at low magnification. Curvilinear and branching hemangiopericytoma-like vessels may be prominent. Some tumors contain giant collagen rosettes, a distinctive morphologic pattern that can help make the diagnosis. Recurrent tumors may show increased cellularity and mitotic activity. By immunohistochemistry, tumor cells express cytoplasmic MUC4, which is a highly sensitive marker for LGFMS. MUC4 can be helpful to distinguish LGFMS from most histologic mimics, but it is notably expressed in closely related sclerosing epithelioid fibrosarcoma and a subset of synovial sarcomas. A majority of LGFMS are characterized by FUS-CREB3L2 fusions, and a smaller number harbor EWSR1-CREB3L1.
The morphologic differential diagnosis includes sclerosing epithelioid fibrosarcoma and other spindle cell neoplasms of the lung such as solitary fibrous tumor, inflammatory myofibroblastic tumor, and synovial sarcoma. Sclerosing epithelioid fibrosarcoma is a fibroblastic neoplasm composed of epithelioid cells arranged in cords and nests within a dense collagenous stroma. Some cases show overlapping morphology with LGFMS, expression of MUC4, and shared molecular alterations (EWSR1-CREB3L1 and less commonly FUS-CREB3L2), suggesting a close relationship between these tumor types. Sclerosing epithelioid fibrosarcoma is associated with a more aggressive clinical course than LGFMS.
Solitary fibrous tumor is a fibroblastic tumor characterized morphologically by spindled cells arranged haphazardly in a “patternless pattern” with collagenous stroma and staghorn vessels. Immunohistochemistry for STAT6 is highly sensitive for the underlying NAB2-STAT6 gene rearrangement. CD34 is often strongly expressed but nonspecific. Inflammatory myofibroblastic tumor (IMT) is characterized by a myofibroblastic and fibroblastic proliferation of spindled cells admixed with an inflammatory infiltrate composed of lymphocytes, plasma cells and eosinophils. By immunohistochemistry, IMTs express smooth muscle actin, variable desmin, variable cytokeratin, and ALK-1 (~50%). IMTs harbor fusions in ALK (~50%), ROS1 and PDGFRB. Synovial sarcoma is a potential pitfall due to expression of MUC4 in a subset. Synovial sarcoma includes monophasic and biphasic morphologic subtypes, characterized by monotonous spindle cells with ovoid, overlapping nuclei, streaming fascicular growth pattern, and hemangiopericytoma-like vessels. The diagnostic chromosomal translocation t(X;18) involves genes SS18 and either SSX1, SSX2 or SSX4, which can be detected by immunohistochemistry for SS18-SSX fusion specific antibody. Additional positive immunostains include TLE1, cytokeratin (biphasic subtype) and CD99.
Take-home message for trainees:
Low grade fibromyxoid sarcoma can metastasize many years after initial diagnosis and only rarely occurs as a primary tumor in the thoracic cavity. The possibility of metastasis should be clinically excluded by history and full-body imaging.
References
Jakowski JD, Wakely PE Jr. Primary intrathoracic low-grade fibromyxoid sarcoma. Hum Pathol. 2008 Apr;39(4):623-8.
Yoshimura R, Nishiya M, Yanagawa N, et al. Low-grade fibromyxoid sarcoma arising from the lung: A case report. Thorac Cancer. 2021 Sep;12(18):2517-2520.
Doyle LA, Möller E, Dal Cin P, et al. MUC4 is a highly sensitive and specific marker for low-grade fibromyxoid sarcoma. Am J Surg Pathol. 2011 May;35(5):733-41.
Doyle LA, Wang WL, Dal Cin P, et al. MUC4 is a sensitive and extremely useful marker for sclerosing epithelioid fibrosarcoma: association with FUS gene rearrangement. Am J Surg Pathol. 2012 Oct;36(10):1444-51.
Yoshimura R, Nishiya M, Yanagawa N, et al. Low-grade fibromyxoid sarcoma arising from the lung: A case report. Thorac Cancer. 2021 Sep;12(18):2517-2520.
Doyle LA, Möller E, Dal Cin P, et al. MUC4 is a highly sensitive and specific marker for low-grade fibromyxoid sarcoma. Am J Surg Pathol. 2011 May;35(5):733-41.
Doyle LA, Wang WL, Dal Cin P, et al. MUC4 is a sensitive and extremely useful marker for sclerosing epithelioid fibrosarcoma: association with FUS gene rearrangement. Am J Surg Pathol. 2012 Oct;36(10):1444-51.
Contributors
Daffolyn Rachael Fels Elliott, MD, PhD
Assistant Professor
Department of Pathology and Laboratory Medicine
University of Kansas Medical Center
Kansas City, United States
Rashna Madan, MBBS
Professor
Department of Pathology and Laboratory Medicine
University of Kansas Medical Center
Kansas City, United States
Ameer Hamza, MD
Associate Professor
Department of Pathology and Laboratory Medicine
University of Kansas Medical Center
Kansas City, United States
Assistant Professor
Department of Pathology and Laboratory Medicine
University of Kansas Medical Center
Kansas City, United States
Rashna Madan, MBBS
Professor
Department of Pathology and Laboratory Medicine
University of Kansas Medical Center
Kansas City, United States
Ameer Hamza, MD
Associate Professor
Department of Pathology and Laboratory Medicine
University of Kansas Medical Center
Kansas City, United States

